2024年12月21日上午9时许,我司接旅行社报案,某保司客户于秘鲁伊基托斯旅游途中不慎意外滑倒导致骨折,已前往医院治疗,客户希望待伤情稳定后送返回国。接案后PROMA迅速成立案件处理小组,由资深案件经理牵头,运营、医疗团队、销售多部门协同,立即着手案件处理。根据本案客户伤情,PROMA特地组成了以资深骨科医生以及经验丰富的救援医生为主导的医疗团队负责本案医疗监控。
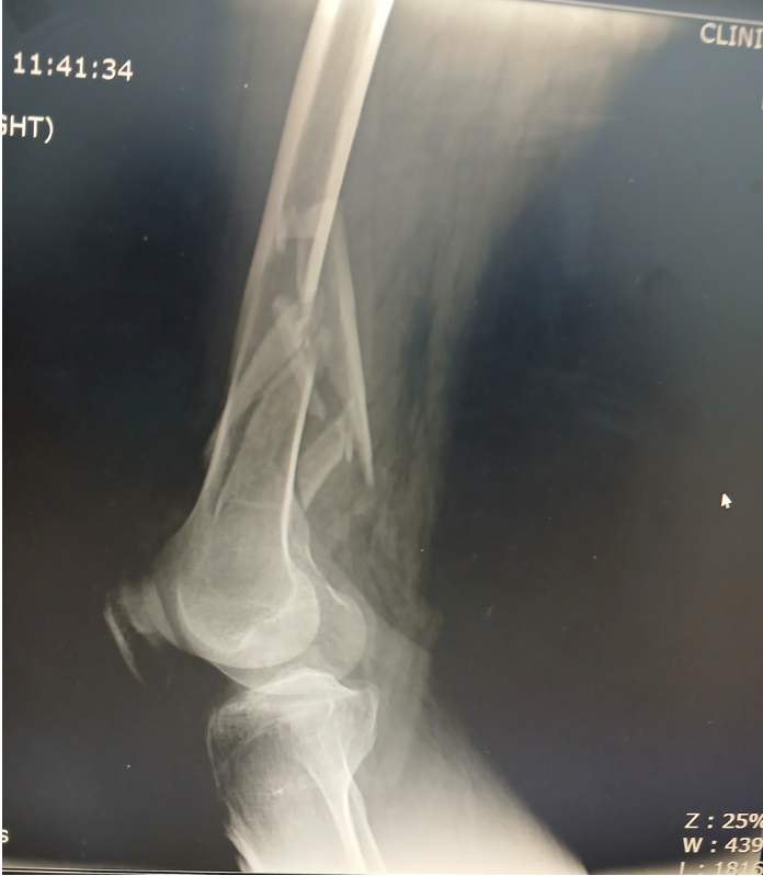
12月21日,我司分别与客户本人及旅行社建立沟通,陆续搜集到了更多出险信息,得知12月20日客户在旅行途中因路滑不慎摔倒,疼痛剧烈随即被导游送医就诊。经医院检查诊断为右股骨远端粉碎性骨折,建议住院手术治疗。客户与家属商讨后同意遵医嘱治疗。


12月22日,经协调安排,客户于当地Clínica Adventista Ana STAHL入院准备手术,由于手术费用较高,客户申请住院医药费用垫付服务。
12月23日,我司协调陆续收集医疗材料及费用材料,整理后提交保司审核。同日医院对患者给予了内固定手术。
12月25日,客户发生术后感染,肺部感染引发呼吸困难进入ICU治疗。我司持续关注客户病情变化。
12月27日,我司获得保司授权,随即安排了医疗费用垫付服务。
12月28日,客户病情好转转出ICU,继续康复观察中。
12月30日,经医院主治医生评估,客户恢复情况良好,按目前情况可于7天后出院。
2025年1月2日,客户身体情况持续好转,我司向医院获取客户的适飞证明。预计一周后可考虑着手制定送返回国方案。
1月4日,我司医疗团队持续关注客户病情进展,经与主治医生沟通并结合医疗报告及客户身体情况,详细制定了转运方案:
民航商务舱+全程资深转运医生陪护+两地救护车+机场轮椅+针对性医疗设备。

1月5日,我司获取了保司的服务授权,各项安排开启。
1月7日,我司医疗陪护抵达当地,看望了客户,进行了医疗评估并与客户沟通了次日的行程安排细节,转运开启。
1月8日7时,医护人员及救护车抵达医院
8时,客户转至救护车,在医护陪同下前往机场
8时30分,客户顺利抵达机场,在医护协调下办理check-in
10时55分,客户顺利转移至航班上,各项起飞前准备完毕。
13时05分,飞机平稳降落秘鲁利马,在医护协助下前往机场酒店休息,等待转机。
21时25分,客户顺利转移至第二段航班上,各项起飞前准备完毕。
1月9日16时30分,飞机平稳降落法国巴黎,在医护协助下前往休息室休息,等待后续转机。

22时40分,客户顺利转移至第三段航班上,各项起飞前准备完毕。
1月10日19时05分,飞机平稳降落中国上海,我司安排的救护车已在机场等候。
20时20分,将客户顺利转移至救护车。


21时45分,顺利将客户送抵上海市徐汇区中心医院。
至此,本次自秘鲁伊基托斯至上海的医疗送返服务高效、高质量地完成。客户对于我司提供的全套服务给予了高度认可和评价,并写了感谢信。


点评:本案是我司执行的境外紧急医疗送返的一起典型案例,突出展示了PROMA快速响应,专业主导,贴心服务的独特理念。7*24的专业案件医疗团队,凭借自身丰富的转运经验和当地强大的救援网络,从接到客户报案电话起,全程跟踪客户医疗进展,积极沟通转运方案,急客户之所急,在客户身体好转后第一时间安排方案落实,经历多次转机,让客户安全舒适地回到了万里之外的家乡,得到了客户的高度赞扬。